Half Moon Bay Marina Dentists
+64 953 51074
info@marinadentists.co.nz

Pine Harbour Marina Dentists
+64 953 51074
pineharbour@marinadentists.co.nz

Request a call back


Let's restore your perfect smile with implants!

Painless with lifetime warranty

Do Not delay dental treatment!

  • Even with the loss of one tooth , the rest are displaced , disrupting the bite, erasing the enamel and causing arthrosis of the jaw joints

  • Losing teeth leads to poor chewing and further digestive problems

  • Without chewing load, the bone loss, which complicates implantation and causes early aging

treatment

Implants Anchored at Marina Dentists

We use an exclusively individual approach and select the most optimal prosthetic option for the patient, depending on the number of missing teeth, the condition of the bone tissues and gums, bite, and function of the joint.

We aim to provide our patients with the chance to reclaim a pain-free and comfortable life, all in a caring and compassionate manner.

The way how we operating
  • We will do exam

    and will take a 3D image

  • We will recommend

    implants on a budget

  • We will select

    an individual treatment method

  • An experienced dentist

    will perform all required procedures

  • Enjoy a flawless smile

    that will last for the next three decades

Our most recent achievements

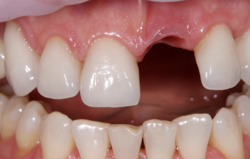
Before

After

This patient came to us with discomfort and difficulty chewing on the right side.

Here’s the full scope of what we completed as a team:

  • Treated the affected teeth
  • Removed the remaining roots
  • Placed 2 dental implants
  • Restored the area with 2 implant-supported crowns and 1 porcelain crown

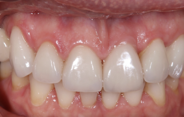
Before

After

The patient came to us with a clear goal:

to restore a tooth on an implant — and make it match the neighbouring ceramic restorations placed few years ago. Not the easiest task, even for an experienced team.

A standard “visual shade match” wasn’t enough, so we used a specialised digital shade-matching system.

By the third try-in, we achieved a perfect match.

Even you won’t be able to tell which one is the new crown.

Feedback from our clients

Shae Mountain
Cathy Bock

he is willing to collaborate with you

DR. ALEX MECHKOV
  • BDS Dental Surgeon
  • Marina Dentists’ owner
  • 36 years of practice

He can place dental implants and remove impacted wisdom teeth without requiring a general anaesthetic, something that can only be achieved through our commitment to most up to date methods.

Answer a few questions

and we will be able to assess your individual needs and provide you with a personalized estimate

1. Tell us about your situation
2. Which jaw do you need to insert a tooth into?
3. How long have you had no teeth?
4. When are you planning treatment?
Leave a request, choose the time of reception and answer the questions
Step 1 of 4

You have gone through all the steps!

Dental implants can help you to achieve a beautiful smile

Restore your teeth in the most reliable and safe way!